The Problem With Tennis Balls
Dogs love to play fetch and tennis balls are commonly thrown by their owners. The problem? The fuzz on the ball (and the way that dogs chew on the ball) acts like a bench grinder. This can cause teeth to wear down rapidly.

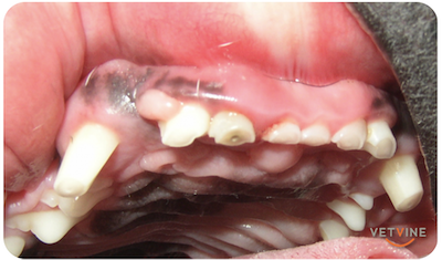
The photo (above) illustrates one consequence of chewing on tennis balls. The anterior (front) teeth of this dog demonstrate "abrasion" - significant mechanical wear due to chewing on a tennis ball. If it's severe enough, it can lead to serious dental problems. What would a veterinary dentist recommend? With the pet under anesthesia a dental explorer should be used to probe the hole that's evident in the incisor of this dog - to assess for fracture and endodontic disease (both can be a source of pain in dogs)!

